


牙齿修复 微笑再现
18岁女孩的前牙美学修复之旅


在青春洋溢的年纪,
一个自信灿烂的笑容能为个人形象增添许多光彩。
对于18岁的高中生小美(化名)来说,
一颗突如其来的牙痛,
却让她暂时收起了应有的笑容。

信任托付,解决燃眉之急



及时就医,解除疼痛
前几日,小美因右上前牙剧烈疼痛,在家人的陪伴下来到医院口腔科。接诊医生经过检查,发现这颗门牙因深度龋坏已伤及牙髓,引发了急性牙髓炎,这正是疼痛的来源。
医生向小美和家属解释了病情,并制定了第一步处理方案——根管治疗。这是一种通过清除牙齿内部感染的牙髓组织,进行彻底清理和填充,从而消除疼痛、阻止炎症继续发展的方法,可以帮助患者保留住自然牙。在医生的操作下,小美的牙痛很快得到缓解。

不止于解除疼痛,更要考虑美观
疼痛解除后,医生考虑到小美年仅18岁,且这颗牙齿位于口腔前部,对日常笑容和面部美观有重要影响。经过根管治疗的牙齿,会因失去牙髓的营养供应而变得相对脆弱,颜色也可能逐渐加深,与邻牙不够协调。
基于这些考量,医生向小美和家属提出了后续的建议——进行全冠修复。



关于“全冠修复”的小科普


全冠修复可以理解为给牙齿制作一个“保护套”,主要起到以下作用:
保护牙齿:根管治疗后的牙齿结构强度有所下降,全冠可以将其完整包裹,分散咀嚼时的力量,降低牙齿劈裂的风险。
恢复功能:帮助牙齿正常承担咀嚼功能。
改善外观:对于前牙,可以选择全瓷材料制作牙冠。这种材料在通透感和色泽上接近天然牙齿,能够达到较为自然的美学效果。

完成修复,重现笑容

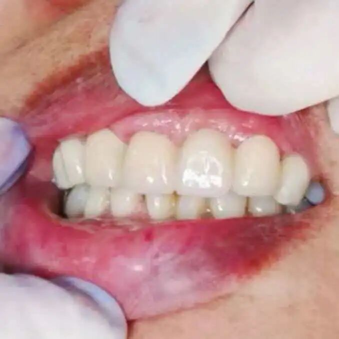
医生将修复方案和注意事项告知小美和家属后,他们表示理解并同意进行全冠修复。经过牙体预备、模型制取、临时冠佩戴等步骤,一周后,制作好的全瓷牙冠被戴入小美的口内。
戴上牙冠后,小美在镜前仔细端详,修复后的牙齿在颜色和形态上与邻牙协调一致,看起来自然。她露出了满意的笑容,之前的疼痛和担忧也随之消散。
从牙痛难忍到完成修复,小美的经历是口腔诊疗中一个常见的案例。对于需要进行前牙修复的年轻患者,在解决疼痛问题的基础上,兼顾牙齿功能的恢复和外观的自然协调,是医患双方共同的期待。如果您也有牙齿相关的困扰,可以到我院口腔科咨询,寻求适合自身情况的解决方案。

END
医院总机:0971-8457911(号码查询)
患者咨询:0971-8164858(工作日)
患者咨询:13997262605
投诉电话:0971-8457911-818(工作日)