


尊重选择
攻克难题
— 一例复杂肾结石合并输尿管狭窄
患者的个体化微创治疗纪实 —


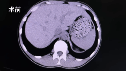
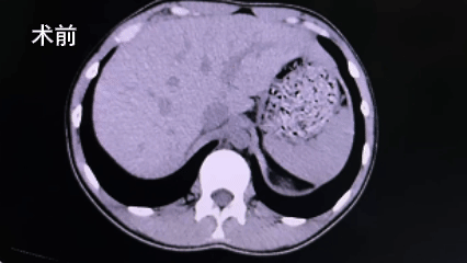
近日,我院外科收治了一位病情复杂的15岁男性患者。该患者因无明显诱因间断出现左侧腰部酸胀不适来院就诊,经详细检查后,被明确诊断为:左侧肾结石伴有积水和感染、左侧输尿管狭窄。



攻克难题
面对这一复杂的病情,我院外科团队高度重视。考虑到患者年龄小、结石不大,且合并肾孟输尿管连接部狭窄,科室最初与家属沟通为患者行肾盂输尿管成形术+肾盏内结石取石术,以期从根本上解决输尿管狭窄的问题。但患者家属因孩子小,对于肾孟输尿管成形手术表达了不同意见,且要求治疗肾中上盏结石。
尊重患者家属的意愿,我院外科及手麻科团队随即重新进行严谨的术前评估。患者输尿管存在狭窄段,这使得常规的输尿管软镜和硬镜均无法顺利通过并到达结石部位,取石路径受阻。在必须处理结石的情况下,团队经过充分讨论,将方案聚焦于经皮肾镜碎石取石术。这是临床处理此类复杂肾结石的常用技术之一。

然而,手术的挑战接踵而至。术中,在B超引导下进行穿刺定位时,团队发现患者的结石位于肾的中上盏,目标穿刺点位置偏高。若按常规思路直接穿刺高位目标点进行碎石,存在损伤胸膜的风险,对年仅15岁的患者而言,手术安全性必须放在首位。

面对这一突发问题,手术团队没有退缩,而是迅速转换思路,展现了丰富的临床经验和应变能力。他们果断放弃了高风险的高位穿刺路径,转而选择从较为安全的中下盏进行穿刺建立通道。通道建立后,新的问题又出现了:由于肾积水导致肾盂肾盏扩张变形,肾脏内部结构发生了改变,从新建通道进入的肾镜在向中上盏探寻结石时,因角度和距离问题,仍然无法触及目标结石。手术操作陷入困境,直接强行操作可能造成不必要的损伤。

在此关键时刻,手术团队再次发挥集体智慧,秉持“安全第一、有效治疗”的原则,迅速调整手术策略。考虑到结石位于中上盏,位置特殊,而软镜具有可弯曲、能灵活调整角度的特性,能够更好地在变形的肾盂内“转弯”,既能有效规避损伤胸膜的风险,又能精准到达结石所在位置。经紧急商议,团队决定在此基础上申请并启用软镜,以经皮肾镜穿刺定位结合软镜碎石的方案进行手术。

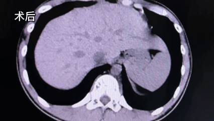
这一灵活的战术调整立竿见影。软镜凭借其可弯曲的优势,顺利到达了肾镜无法触及的肾中上盏区域,精准地锁定了结石。在清晰的可视化操作下,顺利完成碎石取石操作。整个手术过程出血量少,未对周围组织器官造成副损伤。





术后恢复良好
在医护团队的精心照护下,术后患者病情平稳,逐步康复。此次经皮肾镜+软镜双结合手术的成功,是我院外科团队针对复杂病例开展个体化诊疗的一次实践,也彰显了我院外科团队面对突发情况时灵活应变、以患者安全为核心、敢于优化方案的担当精神。我院将继续秉承精益求精的工匠精神,不断提升医疗技术和服务水平,为更多患者的健康保驾护航。


The End
医院总机:0971-8457911(号码查询)
患者咨询:0971-8164858(工作日)
患者咨询:13997262605
投诉电话:0971-8457911-818(工作日)