

近日,我院外科病区上演了温馨一幕:患者李先生(化名)及家属将一面写有“大爱无疆卫健康,医者仁心暖四方”的鲜红锦旗,郑重地交到外科医护团队手中。这面锦旗,不仅是对医护人员精湛医术的肯定,更是对医患之间信任与温情的最好诠释。



分步治疗
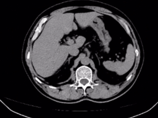
时间回溯到不久前,59岁的患者因右侧腰腹部剧痛来到我院就诊。经详细检查,诊断结果让所有人心中一紧:右侧输尿管中段结石伴右肾积水、左肾盂出口结石伴左肾积水,同时还患有高血压3级。 双侧泌尿系梗阻,意味着双侧肾脏功能正受到双重夹击,随时可能出现不可逆的损伤,情况刻不容缓。
面对患者复杂的病情和迫切的保肾需求,我院外科团队迅速组织病例讨论。治疗的首要任务是尽快解除梗阻,挽救肾功能。考虑到右侧输尿管结石位置明确,团队当机立断,在B超全程监控下,为患者先行实施了体外冲击波碎石术,成功击碎并清除了右侧结石,为后续治疗赢得了宝贵的时间和稳定的内环境。


微创解病痛
然而,真正的“硬仗”在左侧。患者的左侧结石病史长,位于肾盂出口这一关键“要塞”,不仅体积大,且位置高,预估存在严重粘连。若再次采用体外碎石,效果恐不理想,甚至可能加重梗阻。为了保护患者珍贵的左肾功能,外科团队与家属进行了充分、细致的沟通,详细解释了手术方案的必要性与风险,在获得家属的完全信任与同意后,决定迎难而上,实施手术治疗。
在充分的术前准备下,手术如期进行。由经验丰富的外科医师主刀,为患者实施了经皮肾镜下左肾输尿管结石钬激光碎石取石术。手术如同在肾脏里进行一场精密的“隧道战”,医生通过微小的穿刺通道,借助内窥镜精准锁定左侧的“顽石”,利用钬激光的高效能将其粉碎并取出。为确保术后引流通畅、促进恢复,团队同时为其进行了经尿道膀胱镜下左侧输尿管导管插入术及左侧输尿管支架管置入术。
在医护团队的紧密配合下,手术顺利完成。困扰患者多年的左侧复杂结石被成功“一网打尽”。术后,在外科护理团队的精心照料下,患者的疼痛症状解除,肾功能指标向好,恢复情况良好,待后期取出支架管即可。

▲术前

▲术后
“感谢你们,不仅治好了我的病,更保住了我的两个肾!”出院之际,患者激动地握住医生的手,久久不愿松开。他和家人特意定制了这面锦旗,字里行间洋溢着对外科团队无尽的感激。
一面锦旗,分量虽轻,却承载着患者对生命的托付与信赖;几句赞语,言辞虽简,却映照出医者护佑健康的初心与担当。对我院外科医护团队而言,这不仅仅是一份荣誉,更是一份沉甸甸的责任。它激励着每一位医护人员继续秉持“以患者为中心”的理念,在守护生命的征途上,用精湛的技术和温暖的仁心,为更多患者点亮希望之光,守护千家万户的健康与安宁。
END
医院总机:0971-8457911(号码查询)
患者咨询:0971-8164858(工作日)
患者咨询:13997262605
投诉电话:0971-8457911-818(工作日)