您的位置: 首页 > 新闻动态 > 医院新闻
【再获锦旗】一面锦旗背后的信任与担当:医护协作护航复杂病例救治
发布时间:2026-03-11
图片
图片
图片

再获锦旗

一例复杂泌尿系结石患者

的救治纪实

一面锦旗的背后




图片
图片

近日,我院泌尿外科发生感人一幕:一位康复期患者及家属,将一面印有“医德高尚医术精,关爱病患暖人心”的锦旗送到了医护人员手中。锦旗虽小,却承载着深厚的医患情谊,也见证了我院多学科团队迎难而上、守护生命的担当。

图片

图片

病情复杂:多重挑战摆在眼前

患者为42岁男性,因右肾结石入院治疗。经详细检查,同时诊断出2型糖尿病、泌尿道感染。更令人揪心的是,患者10年前曾因车祸外伤导致颅内出血、颅骨骨折,在外院接受过开颅手术,属于脑外伤术后人群。

面对这位集泌尿系结石、代谢性疾病、感染风险及颅脑手术史于一体的患者,治疗难度不言而喻。患者右肾结石体积较大,保守治疗难以奏效,手术指征明确。然而,如何在控制感染、稳定血糖的前提下实施手术?如何规避既往颅脑手术可能带来的麻醉风险?这对我院医疗团队提出了考验。

多学科协作:为手术安全保驾护航


患者的安全永远是第一位的。为确保万无一失,泌尿外科团队迅速启动多学科会诊机制,邀请麻醉科等相关科室医护共同商讨治疗方案。

经过详细评估与周密推演,团队为患者量身定制了周密的手术期管理方案:术前积极控制血糖、加强抗感染治疗,将身体各项指标调整为至佳状态;麻醉科针对患者颅脑手术史制定了个体化麻醉预案;泌尿外科团队则对手术路径、碎石方案、应急预案进行了反复推演。

图片

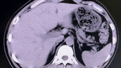
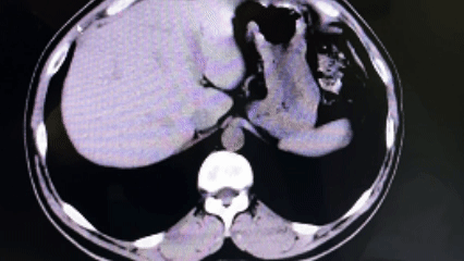
在与患者及家属进行充分沟通,并获得手术同意后,医疗团队为患者实施了“经皮肾镜下右肾结石碎石取石术+经尿道输尿管支架管置入术”。术中,医生顺利穿刺、碎石,成功清除了困扰患者的结石;麻醉医生全程严密监护,确保生命体征平稳;护理团队默契配合,为手术的顺利进行提供了坚实保障。

图片
术前
图片
术后
图片
图片

康复与感恩:锦旗背后的医患情深

在医护人员的精心治疗和悉心护理下,患者术后恢复良好,各项指标稳步改善,不久便达到出院标准。从入院时的担忧到出院时的舒展,患者及家属将这一切看在眼里,记在心里。

出院之际,他们特意定制了锦旗,亲手送到医护人员手中。“医德高尚医术精,关爱病患暖人心”——这十四个字,是对医护团队专业能力的认可,更是对他们倾注的心血与温情的回应。

“患者以生命相托,我们必当全力以赴。”主治医生表示,这面锦旗既是鼓励,更是鞭策。未来,医院将继续坚持“以患者为中心”的服务理念,不断提升疑难危重症救治能力,用专业与温度守护每一位患者的健康之路。

图片



END



医院总机:0971-8457911(号码查询)
患者咨询:0971-8164858(工作日)
患者咨询:13997262605
投诉电话:0971-8457911-818(工作日)

西宁惠康中西医结石医院 版权所有
医院地址:青海省西宁市城东区南山东路66号3号楼
青ICP备2024002765号-1