

警惕肾脏里的
“单间住户”
憩室结石
肾盏憩室结石:一个需要“定位追踪”的泌尿外科病例



一例特殊病例,了解肾盏憩室结石的诊疗Vol.1
近日,一位长期受右肾结石困扰的患者在我院接受了手术治疗。术前CT检查明确显示右肾结石存在,手术指征明显,然而当医生进行输尿管软镜碎石取石术时,却在肾盂及可见肾盏内遍寻不得结石踪迹。


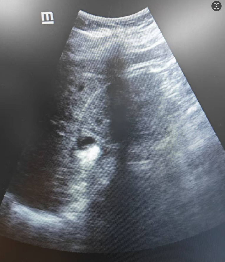
▲憩室内结石
面对这一特殊情况,我院专家团队迅速调整思路,结合术前CT与术中实时超声定位,判断患者可能存在较为特殊的“肾盏憩室结石”。专家团队果断寻及闭合的盏颈口,借助钬激光技术切开后,结石终于显露。主刀医师随后将结石击碎并悉数取出,同时解除了盏颈梗阻,成功完成了手术。

▲B超实时定位

了解肾盏憩室结石
Vol.2
1
什么是肾盏憩室结石?
肾盏憩室是肾脏内一种较为特殊的结构,可以理解为肾盏上的一个“小房间”或“口袋样”突起,通过一个狭窄的通道(盏颈)与肾盏相通。当尿液在这个“小房间”内滞留,矿物质逐渐沉积,就可能形成结石,这就是肾盏憩室结石。
这种结石的特殊性在于,它并不位于尿液正常流经的肾盂或开放肾盏中,而是隐藏在憩室这个“死角”里。因此,有时即使影像检查显示有结石,但在常规手术路径下却难以直接发现。
2
肾盏憩室结石如何治疗?
对于肾盏憩室结石的治疗,需要根据憩室大小、结石体积、症状严重程度以及是否伴有感染等因素综合考虑:
保守观察:对于体积较小、无明显症状且不伴有感染的憩室结石,可以定期复查,观察变化。
体外冲击波碎石:适用于部分憩室颈较宽、结石碎片容易排出的情况,但可能存在结石碎片难以完全排净的问题。
腹腔镜/内镜微创手术:如经皮肾镜碎石取石术或输尿管软镜手术,可直接进入憩室,碎石并取出,同时可扩大憩室颈口,促进引流,降低复发风险。
开放手术:对于较大、复杂或内镜手术困难的憩室结石,可能需要此类手术方式,直接切除憩室。
肾盏憩室结石的治疗关键在于不仅要清除结石,还要解决憩室颈狭窄的问题,改善引流,否则结石容易复发。
此次病例的成功处理,体现了我院泌尿外科团队在面对复杂情况时的临机应变能力和精湛技术水平。团队通过精准的术前评估、术中的果断决策和多技术的灵活应用,为患者解决了困扰已久的病痛。
专家提醒,肾结石患者应定期复查,遵医嘱选择合适的治疗方式。对于特殊的肾盏憩室结石,更需要个体化的治疗方案设计。
END
医院总机:0971-8457911(号码查询)
患者咨询:0971-8164858(工作日)
患者咨询:13997262605
投诉电话:0971-8457911-818(工作日)