解除剧痛
清除结石
一例双侧结石患者的治疗历程

近日,一例因双侧肾输尿管结石并积水感染入院的49岁男性患者,在我院外科完成分阶段治疗后,顺利出院。整个诊疗过程依据患者病情特点分步实施,目前患者恢复情况平稳。


入院与诊断




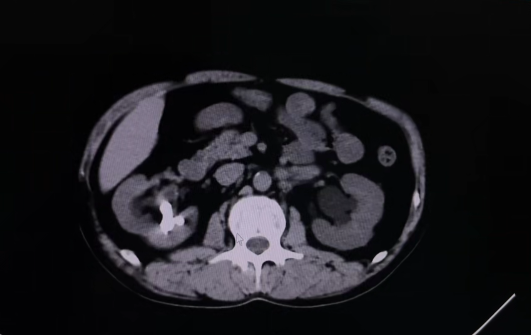
该患者因“左侧腰腹部间断性疼痛5天”入院。入院后,经过系统的泌尿系CT、超声及实验室检查,临床诊断为“双肾输尿管结石并积水和感染”。影像资料显示,其右侧肾脏结石体积较大,左侧输尿管结石已造成梗阻并引发感染,病情存在一定复杂性。
外科团队接诊后,对病情进行了综合评估。考虑到患者双侧结石并存,且左侧存在急性梗阻和感染,右侧为较大的肾内结石,若同期处理,手术创伤与风险较大。因此,团队讨论后确定了分阶段的治疗策略:首先,通过体外冲击波碎石处理左侧输尿管结石,目标是快速解除梗阻、引流感染、缓解患者当前最急迫的疼痛症状;待左侧急性问题缓解、患者整体状况改善后,再择期通过经皮肾镜手术处理右侧的肾结石。

分阶段实施手术


依据此方案,在完成必要的抗感染及镇痛等支持治疗后,医疗团队在超声实时定位下,为患者施行了左侧输尿管结石的体外冲击波碎石治疗。治疗过程平稳。术后次日,主管医师查房时,患者反馈左侧腰腹部疼痛感已显著减轻。后续复查也提示左侧输尿管梗阻得到缓解,感染指标趋于稳定,这标志着第一阶段治疗达到了预期目标,为患者接受下一步治疗创造了更有利的身体条件。

在左侧症状得到有效控制后,医疗团队着手准备第二阶段的治疗。针对右侧较大的肾结石,团队制定了经皮肾镜碎石取石的手术方案,并完成了包括麻醉评估、手术路径规划、并发症预案及术后康复计划在内的详细术前准备。此后,患者在全身麻醉下接受了经皮肾镜下右肾结石钬激光碎石取石术,同期完成了输尿管支架管置入等操作。手术按计划进行,术后患者生命体征平稳,安返病房。

在后续的住院康复期间,护理团队对患者进行了细致的术后护理与健康指导,包括疼痛管理、引流管护理、饮食及活动注意事项等。医生团队定期查房,监测其肾功能恢复情况、感染控制效果及手术切口愈合情况。随着患者恢复良好,疼痛消失,饮食、活动恢复正常,各项检查指标符合出院标准,于近日办理了出院手续。出院时,医护人员向其详细交代了居家康复注意事项、复诊时间及紧急情况处理方式。


负责该病例的外科医师在回顾治疗过程时谈到,对于此类双侧泌尿系结石合并感染和积水的病例,临床处理需审慎规划。分阶段治疗是可供选择的策略之一,其核心在于区分病情的轻重缓急,优先处理可能危及肾功能或引发严重并发症的急性问题,在患者状况稳定后,再处理另一侧的病变,以期在控制整体医疗风险的前提下,逐步解决所有问题。
本例患者的诊疗过程,展示了面对复杂泌尿系结石病例时,临床团队依据评估进行系统规划与分步实施的一种工作路径。患者从入院到出院的各个环节,涉及诊断、方案制定、分阶段治疗实施及术后康复管理,体现了多环节的协作。医院科室将持续在诊疗实践中积累经验,为患者提供规范的医疗服务。

END
医院总机:0971-8457911(号码查询)
患者咨询:0971-8164858(工作日)
患者咨询:13997262605
投诉电话:0971-8457911-818(工作日)